Massive study finds cannabis and tobacco use linked to shrinking brain size
Smoking and drug use are often discussed in terms of lung health or addiction, but a new study shows that these habits may also change the brain itself.
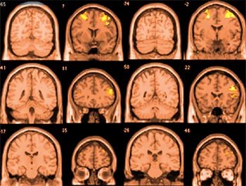
Researchers have found that both cannabis and tobacco use are linked to changes in brain size in important areas that control emotions, thinking, and behavior, News.Az reports, citing Knowridge.
The study, published in the journal Addiction, combined results from more than 100 previous studies and included data from over 72,000 people. This makes it one of the most comprehensive efforts to understand how these substances affect the brain.
RECOMMENDED STORIES
Cannabis and tobacco are widely used around the world. It is estimated that about 228 million people use cannabis, while tobacco is used by nearly 1.8 billion people. Both substances affect the brain, but they do so in different ways.
Cannabis contains a chemical called THC, which affects special receptors in the brain that control mood, pain, and appetite. Tobacco contains nicotine, which affects how brain cells communicate and how the brain learns and adapts.
In this study, researchers focused on brain volume, which refers to the size of different brain regions. Brain volume is an important indicator of brain health. When certain areas become smaller, it can affect how a person thinks, feels, and behaves.
The results showed that people who regularly use cannabis tend to have a smaller amygdala. The amygdala is a part of the brain that plays a key role in emotions, especially fear and stress. Changes in this area may affect how people respond to emotional situations.
Tobacco use was linked to even wider changes in the brain. Smokers were found to have smaller volumes in several regions, including the amygdala, the insula, and the pallidum. The insula is important for self-awareness and emotional processing, while the pallidum is involved in movement and motivation.
The study also found that smokers experience a faster decline in gray matter over time. Gray matter is a major part of the brain that supports thinking, memory, and decision-making. Losing gray matter more quickly may increase the risk of cognitive problems later in life.
Another important finding came from genetic analysis. The researchers found that people who smoked more cigarettes each day were more likely to have a smaller hippocampus. This part of the brain is essential for memory and learning.
To reach these conclusions, the researchers combined three types of evidence. They looked at studies that compared users and non-users, studies that followed people over many years, and studies that used genetic data to explore cause and effect.
By bringing together these different approaches, they were able to build a clearer picture of how these substances may affect the brain.
Overall, the findings suggest that both cannabis and tobacco are linked to measurable changes in brain structure. These changes may help explain some of the long-term effects seen in users, such as problems with memory, mood, and behavior.
If you care about smoking, please read studies about smoking may increase heart disease risk by 200% and e-cigarette smoke may cause lung cancer and bladder disease.
For more health information, please see recent studies about the cause of weight gain after smoking cessation, and results showing smoking may cause white scars on the brain.
By Leyla Şirinova





